Нижегородские хирурги спасли 15-летнюю пациентку с инсультом

По словам врачей, подобные кровоизлияния диагностируются крайне редко, не более двух случаев в год.

По словам врачей, подобные кровоизлияния диагностируются крайне редко, не более двух случаев в год.

Нижегородские хирурги спасли 15-летнюю пациентку с инсультом, сообщается на странице Областной детской клинической больницы в соцсетях.

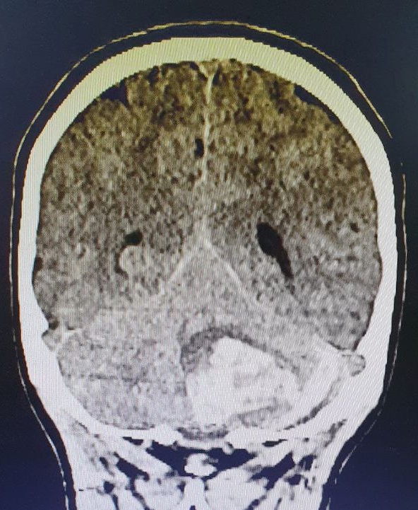
Девушка почувствовала себя плохо еще дома. У нее заболела голова, появились судороги и нарушение сознания. Медики доставили пациентку в НОДКБ, где во время КТ мозга врачи диагностировали кровоизлияние. С подозрением на спонтанный разрыв сосудов девушку госпитализировали в отделение реанимации.

По словам врачей, на принятие решения о тактике лечения оставались считанные часы. Через сутки после госпитализации нейрохирурги НОДКБ совместно с сосудистым хирургом Городской клинической больницы № 13 Анатолием Шелудяковым успешно удалили внутримозговую и субдуральную гематомы мозжечка, также удалена сосудистая мальформация.

«Об этой коварной аномалии развития пациенты часто не знают до наступления сосудистой катастрофы. Спонтанно развившееся кровоизлияние наступает из-за разрыва артериовенозной мальформации — „сосудистого клубка“ из переплетенных вен и артерий», — сообщил врач-нейрохирург НОДКБ Дмитрий Кирин.

Медики сообщают, что пациентка уже переведена из реанимации в нейрохирургическое отделение, динамика положительная, ей разрешили сидеть в кровати. Девушке предстоит курс реабилитации и МСКТ-ангиография для исключения других патологических сетей сосудов головного мозга.

По словам врачей, подобные кровоизлияния диагностируются крайне редко, не более двух случаев в год.

Последние новости

36 социальных предпринимателей из Сарова поборются за гранты до 250 тысяч рублей по программе «Путь к успеху»

Фото: ЦИСС Нижегородской области 36 жителей Сарова стали участниками программы по развитию социального предпринимательства «Путь к успеху».

Не по карману. Чиновники передумали покидать нижегородский кремль

Переезд чиновников из кремля в ТЦ «Этажи» отложили в Нижнем Новгороде ЕТ Евгений Туркин Райтер Переезд администрации Нижнего Новгорода из кремля в здание бывшего ТЦ «Этажи» откладывается.

Команда института пищевых технологий и дизайна стала победителем  Кубка главы Нижнего Новгорода «Молодые патриоты»

Третьи ежегодные военно-патриотические соревнования Кубок главы города Нижнего Новгорода «Молодые патриоты» прошли на базе учебного центра патриотического воспитания Приволжского федерального округа «Гвардеец».

Потребительский кредит без боли: как не стать жертвой долговой ямы

Как взять кредит с умом и не пожалеть об этом спустя пару месяцев

Здесь вы можете узнать о лучших предложениях и выгодных условиях, чтобы купить квартиру в Торжке

Комментарии (0)

Добавить комментарий

Ваш email не публикуется. Обязательные поля отмечены *